深入瞭解如何為您的第二類不正咬合(Class II)個案提供革命性的全新療程


隱適美竭力幫助您…
獲得卓越的臨床成果、加快療程速度、
提升患者舒適度3、4 與醫從性5。
具有下顎前導(Mandibular Advancement, MA)功能咬合塊設計的隱適美® 矯正系統,可在排齊牙齒的同時治療第二類不正咬合(Class II),更有助於減少第二類不正咬合(Class II)療程所需的裝置數量2。與隱適美隱形牙套一樣採用 SmartTrack™ 專利材質製造,比傳統矯正牙套設計更精準6、更舒適3、4。藉此能有效提升患者舒適度、維持患者的醫從性、確保患者遵守佩戴時間,進而獲得最優良的治療成果5。




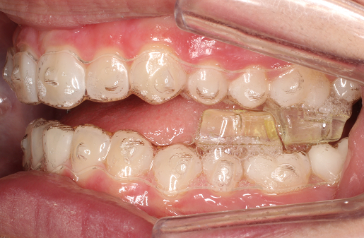
咬合塊的作用
先將具有整合式咬合塊的隱適美® 隱形牙套安裝至牙齒的咬合面。
患者在前導位置咬合時,咬合塊便可以在這個前導位置卡合, 有利於維持下顎的前導位置。
本系統可在引導下顎前移的同時移動牙齒2 以及治療第二類不正咬合(Class II),包括嚴重深咬等個案。




臨床個案
具有下顎前導(Mandibular Advancement, MA)功能咬合塊設計的隱適美® 矯正系統是全新的創新療程,設計用於治療包括嚴重深咬在內的各類第二類不正咬合(Class II)個案。


短臉型
臉型較短、下顎角度較低,且有深度垂直覆咬的狀況。


標準臉型
臉型標準,且有深度垂直覆咬的狀況。





